Abdominal Scan

A detailed abdominal scan to assess the organs, investigate symptoms, and identify causes of pain or discomfort.

Abdomen scan

Call upon the caring staff at Ultrasound Scanning Services in Kingsbury, London, to conduct an abdominal ultrasound examination when you are experiencing pain in the abdomen area. Abdomen scans can identify any underlying problems, which means your referral to the hospital/Consultant can be sooner.

Above 

An ultrasound picture of the gallbladder with a gallstone within it. 

Detecting pathologies

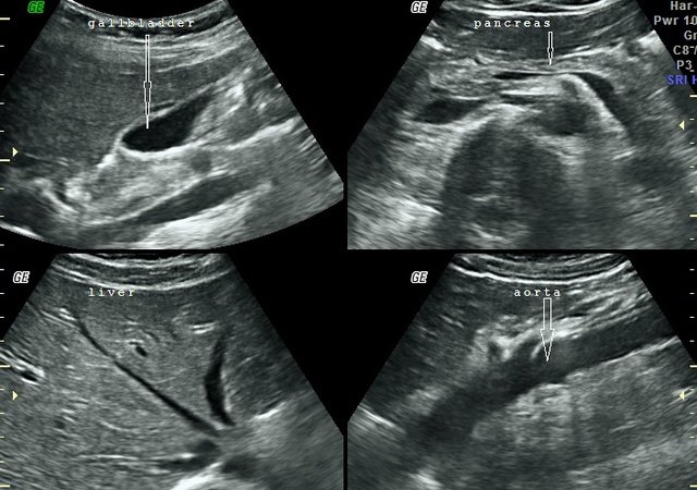
Abdominal ultrasound scans are provided for patients who experience pain above the navel and in the stomach area. The scan is performed to examine organs in the abdomen, including the liver, gallbladder, pancreas, aorta, spleen, and kidneys. The procedure detects gallstones, cysts, and tumours, alongside other pathologies.

A comfortable procedure

During the procedure the Sonographer will ensure you feel relaxed. Upon your arrival, you are asked to lie on your back on our comfortable couches. The sonographer places gel onto your abdomen moves the probe back and forth. You will be asked to hold your breath for a short time and also to turn onto your side. Once the scan is complete, you may wipe the gel from your abdomen.

The Abdominal Aorta scan will also be performed to measure the diameter. This would exclude any aneurysm.

Preparation for your scan

In order to ensure the results effective, we ask that you do not eat six hours prior to the examination.

We request that diabetic patients adhere to a fat-free diet, for example, you are able to eat two toasts with jam providing there is no butter or margarine. As with all our ultrasound scans we request that you wear loose-fitting clothing to enable the sonographer to easily access the abdomen.

Pricing

Service Price
Abdomen Scan

Abdomen, Kidney & Bladder Scan

Abdomen & Pelvic Scan
£115

£185

£220
After we have received your payment a member of staff will send out confirmation of your examination. If they have any queries they will ring you. Thank you.