Pelvic scans

Pelvic Examination Scans -to detect pathologies-for menstruating women, pre and post menopausal.ic ovaries

General Pelvic Ultrasound Scans

Scans for Endometrial Thickness and Follicle Tracking
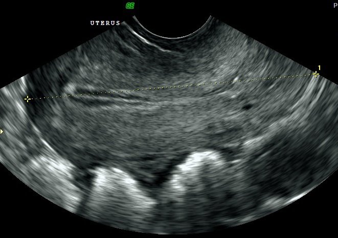
Performed to examine the uterus (womb) and ovaries, their size, shape and appearance. The lining of the womb (endometrium) is examined to check thickness as it can detect causes of bleeding in pre and post-menopausal women. It can also show reason of low abdominal pain and excess bleeding or intermitent bleeding. Also to check if you are missing your periods. scan pelvic uterus bood test
A pelvic ultrasound scan can also detect:

Pelvic scans for Endometrial thickness or Follicle tracking

ENDOMETRIAL THICKNESS.
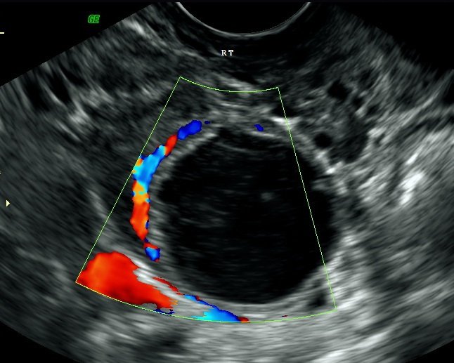
The Pelvic scans for Endometrial thickness can be arranged with us if your are about to undergo fertility treatment either within the Uk Or with a fertility clinic abroad. You can also request these scans independently to see if you are producing follicles and ovulating. A transvaginal ultrasound examination focussing on the endometrium (lining of the womb) with a basic assessment of the ovaries.
This scan will determine the thickness and appearance of the endometrium and the ovaries will be checked to ensure they do not have any large cysts within them.
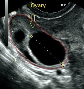
FOLLICLE TRACKING

Day 2-3 – to check for antral follicles, also to exclude any cysts from previous cycle.

Day 9 – to check all the anatomy to exclude fibroids and endometrial polyps. We can also exclude any pathology from the previous cycle.

We measure the lining of the womb (endometrium) and measure the follicles within the ovary (which contain the eggs).

The third scan is performed depending on the size of the follicles and they are monitored to inform you when an estimation of ovulation is likely to occur, which in turn increases your chances of conceiving. When the follicle/s are 20 mm they will rupture – this is ovulation.

A further forth scan can be performed after ovulation, a corpus luteal cyst should be present to ensure ovulation has occurred; this will give you an insight of how the ovaries are working within it and whether you are definitely ovulating.

A report is provided after each scan with images

The ultrasound scanning methods

Transabdominal scans

The transabdominal scan requires you to drink one litre of water one and a half hours before the procedure. This ensures your bladder is full so that the scan produces a clear image. During the examination, the sonographer places gel onto your lower abdomen, and firmly moves the probe back and forth.

Transvaginal scan

A transvaginal scan produces very clear images of the female pelvic organs, owing to the position of the probe. This examination is an internal ultrasound that involves placing a probe the scans are performed internally using a long narrow probe that is inserted into the vagina and is gently moved around. The procedure is not painful however you may experience mild discomfort.

Pricing

Service Price
General pelvic scan £115
Endometrial Thickness / Follicle Tracking £115
After we have received your payment a member of staff will send out confirmation of your examination. If they have any queries they will ring you. Thank you.