Early pregnancy - Reassurance & dating scan

Suitable from 6–12 weeks for reassurance, dating & early pregnancy checks.

Quick Information

Suitable For

6–12 weeks

Scan Duration

20 minutes

Images Included

6–12 weeks

Report Provided

Yes, after scan

A blood test is now available to tell the gender from 6 weeks.
Prices are from £139. 
*Please note an ultrasound scan report is needed to confirm the age of the baby before a blood test can be performed. You can bring your ultrasound report with you if you have had a scan elsewhere.*
If you haven’t had a scan, then we can provide the scan and the blood test for £214 (between 6–12 weeks) – £219 after 12 weeks. Please ring us for any other information.
(A report will be given at the end of the scan).

Scan Options

Early Pregnancy Scan

Reassurance Scan

Gender Scan

What We Check During Your Scan

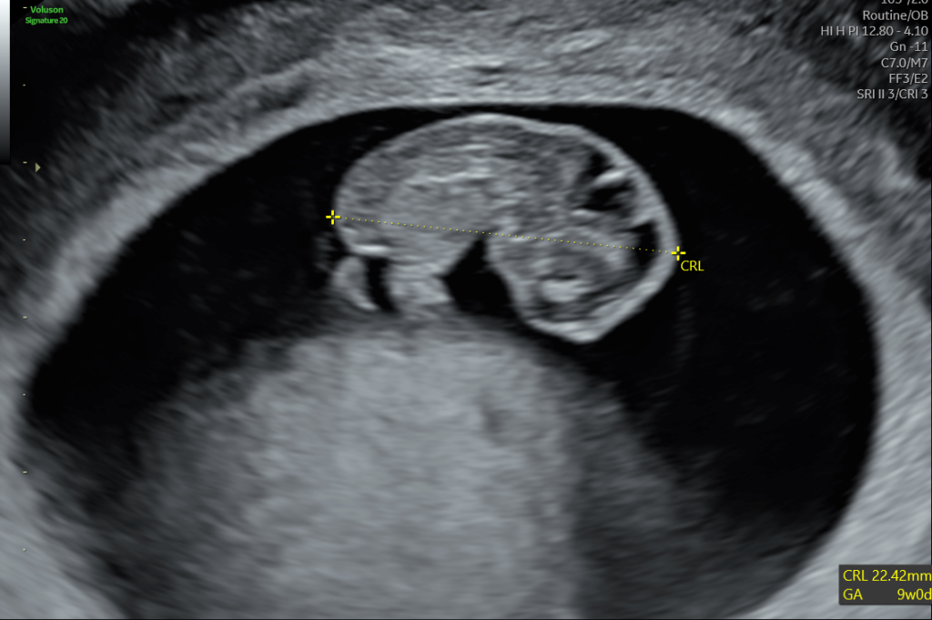
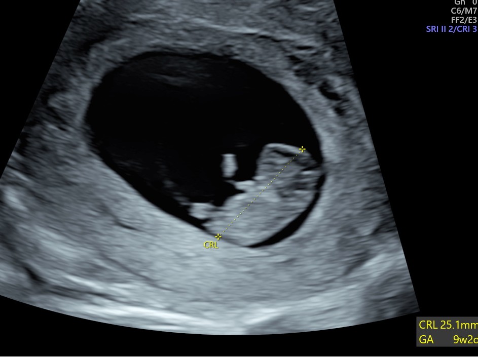
Recommendation: Book from 7 weeks for clearer heartbeat visibility.

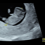
What do you see on an early pregnancy scan?

4 weeks

A gestation sac only – no evidence of a baby yet, therefore we cannot confirm if the pregnancy is in the right place.

5 weeks

A gestation sac with a yolk sac – no evidence of a baby yet, we can confirm that the pregnancy is in the right place.

6 weeks

A gestation sac with a yolk sac and a foetal pole (baby) with a heart beat. We can measure the foetal pole to date the baby.

Method of scan

Transabdominal scans

During a transabdominal scan, the sonographer places gel onto your lower abdomen, and firmly moves the probe back and forth. We request that you attend the scan with a full bladder, which means that you must drink one litre of water approximately one and a half hours before the scan is performed. You must not empty your bladder until after the scan.

Transvaginal scans

A transvaginal scan is an ultrasound examination that is performed internally. This method involves scanning with an ultrasound probe positioned within the vagina, which is gently moved around. The examination is not painful however it may cause mild discomfort. This type of scan produces the clearest images of the baby. It will not harm the baby. This is only performed usually up to 8 weeks if required; thereafter a transabdominal scan would be performed. If you do not want this scan please inform the Sonographer.

Pricing

Service Price
Early Pregnancy 6 – 12 weeks – (recommend to book nearer 7 wks to ensure seeing the baby) £75

Well-being/Reassurance scan 12 -20 wks

£85

Gender scan 15 weeks onwards £85
Growth Scan/Reassurance/Well-Being scan  20-40 weeks  £90
Note: multiple pregnancies will be charged an extra £55.
After we have received your payment a member of staff will send out confirmation of your examination. If they have any queries they will ring you. Thank you.